![]() |
Aplicação com sucesso da Bone-02, a supercola óssea desenvolvida pela China — Foto: Reprodução |
Cientistas na China anunciaram neste mês o desenvolvimento de uma "cola óssea revolucionária" que pode curar fraturas, que tradicionalmente levariam meses para cicatrizar, em questão de minutos. O produto ortopédico foi batizado como Bone-02.
Lin Xianfeng, cirurgião ortopédico de Hangzhou (China), afirmou que o adesivo pode alcançar uma fixação precisa em questão de minutos, mesmo em ambientes com alto teor de sangue. Bone-02 é resultado de uma busca de corrigir lesões ortopédicas que geralmente exigiriam meses de inatividade e cirurgias invasivas que frequentemente incluem inserções de placas metálicas, informou o "Global Times".
O tratamento inovador com a cola vem na forma de uma única injeção e "cola fragmentos ósseos quebrados em apenas três minutos", de acordo com a reportagem.
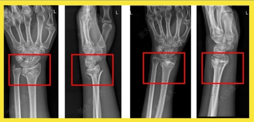
Em caso experimental, um paciente com fratura no punho recebeu uma injeção através de uma incisão de apenas 3 cm e foi curado em apenas três minutos, informou o "Cho Sun Daily". Uma cirurgia para reparar o punho exigiria uma placa metálica e parafusos, cuja remoção exigiria uma segunda cirurgia no ano seguinte. Após um check-up de acompanhamento de três meses, a fratura do paciente havia cicatrizado completamente sem complicações, afirmou a reportagem. Durante os testes, outros 149 pacientes foram tratados com a supercola chinesa, com resultados positivos. O produto já foi patenteado dentro e fora da China.
A inspiração veio do mar, contaram os cientistas por trás do projeto. Mais especificamente da capacidade das ostras de aderir a superfícies subaquáticas difíceis de manusear com adesivos tradicionais, informou o "Interesting Engineering". Ao contrário das colas comuns, a biocola secretada pelas ostras forma ligações resistentes à pressão e à erosão em condições úmidas, salgadas, molhadas e em constante movimento.
O Bone-02 também pode ser absorvido naturalmente pelo corpo à medida que o osso se consolida, eliminando a necessidade de uma segunda cirurgia para remover os implantes. Testes iniciais também indicam que o uso da cola para ossos produz menos infecções do que procedimentos com placas metálicas.
Fraturas ósseas são um problema de saúde global crescente, com 178 milhões de pessoas sofrendo fraturas em 2019, um aumento de 30% em relação a 1990, de acordo com levantamento da revista "The Lancet". Não há números compilados mais recentes.
Fonte: Extra

/i.s3.glbimg.com/v1/AUTH_1f551ea7087a47f39ead75f64041559a/internal_photos/bs/2025/n/o/LOegmBS3u3zBGZpWpCwA/blog-bone-02.jpg)
.gif)