Jovem de 17 anos com transtorno de 'pica' chegou ao hospital com fortes dores abdominais, vômitos e dificuldade para engolir qualquer alimento
Uma adolescente de 17 anos do Oriente Médio precisou passar por cirurgia de emergência depois que médicos encontraram uma bola de cabelo gigante do estômago dela. O caso raro, conhecido como "síndrome de Rapunzel", foi descrito em um estudo publicado na revista "Journal of Surgical Case Reports" por pesquisadores da Arábia Saudita e do Egito. Atenção: imagens fortes abaixo.
A jovem chegou ao hospital reclamando de fortes dores abdominais, vômitos repetidos e dificuldade para engolir qualquer alimento. Segundo os cuidadores, ela tinha histórico de pica, um transtorno alimentar em que a pessoa sente compulsão em ingerir substâncias que não são comida. No caso dela, cabelos.
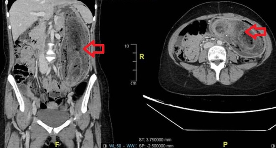
Massa de cabelos foi retirada de estômago de adolescente — Foto: Divulgação/Journal of Surgical Case ReportsOs médicos notaram que o abdômen estava inchado e dolorido, com uma massa firme palpável. Exames de imagem confirmaram o diagnóstico: um enorme aglomerado de cabelos ocupava todo o estômago e se estendia até o duodeno, o que caracteriza a chamada "síndrome de Rapunzel".
"Devido ao tamanho, não foi possível remover o material por endoscopia. Foi necessário realizar uma cirurgia aberta sob anestesia geral", descrevem os autores do estudo. Durante o procedimento, os cirurgiões extraíram cuidadosamente a bola de cabelo intacta, em uma operação que durou cerca de três horas.
Exames mostraram enorme aglomerado de cabelos ocupava todo o estômago e se estendia até o duodeno — Foto: ReproduçãoA paciente se recuperou bem, recebeu alta quatro dias depois e foi encaminhada para avaliação psiquiátrica e terapia comportamental para evitar que a situação se repita.
O que é a 'síndrome de Rapunzel'?
O nome faz referência à personagem dos contos de fadas que tinha longos cabelos. Na medicina, o termo é usado para descrever casos em que o consumo compulsivo de fios forma grandes massas no estômago, conhecidas como tricobezoares.
Embora extremamente raros, com prevalência estimada em menos de 0,5% dos casos de obstrução gástrica, esses bezoares podem causar complicações graves, como úlceras, pancreatite e até perfurações. Segundo os pesquisadores, em situações mais graves a taxa de mortalidade pode chegar a 30%.
Fonte: extra.globo


.gif)